Noviembre 2025. Hospital Italiano
Masculino de 61 años. Masa dolorosa en cara anterior de pie derecho.

Masculino de 61 años. Masa dolorosa en cara anterior de pie derecho.

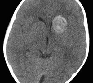
Paciente de 4 años. TEC, Vómitos.

Femenina 59 años. Asintomática, Hallazgo en control anual.

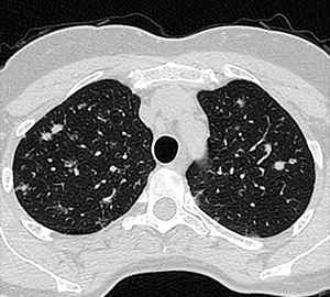
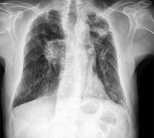
Masculino 75 años, APP: TBC, MC: Tos productiva crónica y disnea.

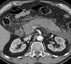
Pte femenino de 52 años, Mc: dolor abdominal difuso, App: hta, Mh: Losartan, A qx: osteosíntesis lumbar.


MC: Paciente femenina de 42 años, consulta por dolor abdominal en hipogastrio y flanco izquierdo de 3 meses de […]

MC: Paciente femenina de 62 años de edad que se presenta con fiebre, odinofagia y cefalea de más de una […]

Edad: 4 años. Motivo de consulta: Trastorno de la marcha. Dolor en miembros inferiores. Laboratorio con anemia ferropénica. Antecedentes […]

Paciente masculino de 38 años, sin antecedentes, consulta por dolor y edema en muñeca derecha.