

CURSO BIENAL
Esta actividad se desarrolla un sábado de cada mes, en las Aulas de UCC Medicina

TALLER DE RESIDENTES
Esta actividad concentra a los distintos centros formadores de Especialistas en Diagnóstico por Imágenes, cuyos residentes preparan casos de discusión para el diagnóstico con una actualización sobre el tema relacionado al diagnóstico en cuestión y a los diagnósticos diferenciales.
NOVEDADES
Jornadas de Residentes 2025
22º Jornada de Residentes en Diagnóstico por Imágenes 28, 29 y 30 de marzo, 2025. La Falda, Córdoba Un nuevo […]
Bolsa de trabajo: Ciudad de Río Cuarto
Buscamos médico/a ecografista especialista en diagnóstico por imágenes.
Ganadores de las becas Bayer para el CADI 2024
Se realizó el sorteo de las becas Bayer para el CADI 2024. Los ganadores definitivos son: CANLLO, Marcela CHIESA, Marina […]
CASOS DEL MES

Noviembre 2025. Hospital Italiano
Masculino de 61 años. Masa dolorosa en cara anterior de pie derecho.

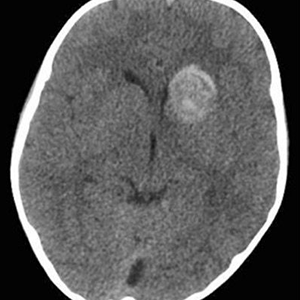
Noviembre 2025. Hospital Italiano
Paciente de 4 años. TEC, Vómitos.

Octubre 2025. Conci Carpinella
Femenina 59 años. Asintomática, Hallazgo en control anual.









